Fourth Military Medical University Jinyan/Xi’an Jiaotong University Chen Xin
The systemic biodistribution of endogenous extracellular vesicles is essential for maintaining tissue homeostasis. The research team of Professor Jin Yan from the Fourth Military Medical University and Professor Chen Xin from Xi’an Jiaotong University used magnetic nanoparticles to collect circulating exosomes and release them locally in the infarcted heart tissue. Exosomes can promote angiogenesis in the infarcted heart tissue, and the function of the heart is also improved. The nanoparticles use Fe3O4 as the core and silica as the shell layer. Finally, the silica shell is modified with polyethylene glycol bonded to the two antibodies through the hydrazone bond. Among them, one antibody binds to the CD63 antigen on the surface of extracellular vesicles, and the other antibody binds to the surface marker myosin light chain on the damaged cardiomyocytes. Under the action of a local magnetic field, nanoparticles are enriched in the damaged heart tissue, and the hydrazone bond will be broken in this acidic environment, causing the captured extracellular vesicles to be released at the damaged heart tissue. In the rabbit and rat models of myocardial infarction, under the guidance of a magnetic field, nanoparticles can capture and release exosomes, which can reduce the area of infarction. Through this method, the biodistribution of endogenous exosomes can be manipulated to treat other diseases.

Figure 1. Synthesis and characterization of GMNPs

Figure 2. Preparation of GMNPec and its biological function verification in vitro

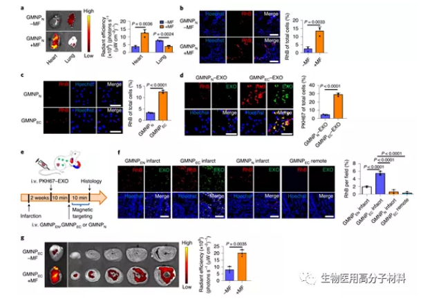
Figure 3. Verification of the dual targeting performance of GMNPec in vitro and in vivo

Figure 4. Verification of the exosome release performance of GMNPec in vitro and in vivo

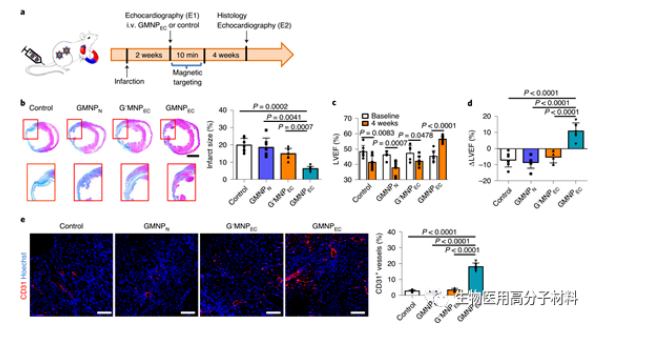
Figure 5. In a rat model of myocardial infarction, heart function improved after intravenous injection of GMNPec

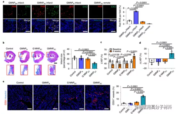
Figure 6. In the rabbit model of myocardial infarction, the heart function improved after intravenous injection of GMNPec
Link to the paper: https://www.nature.com/articles/s41551-020-00637-1
Information source: Material Chemistry News
This information is from the Internet for academic exchanges. If there is any infringement, please contact us and delete it immediately

Figure 1. Synthesis and characterization of GMNPs

Figure 2. Preparation of GMNPec and its biological function verification in vitro

Figure 3. Verification of the dual targeting performance of GMNPec in vitro and in vivo

Figure 4. Verification of the exosome release performance of GMNPec in vitro and in vivo

Figure 5. In a rat model of myocardial infarction, heart function improved after intravenous injection of GMNPec

Figure 6. In the rabbit model of myocardial infarction, the heart function improved after intravenous injection of GMNPec
Link to the paper: https://www.nature.com/articles/s41551-020-00637-1
Information source: Material Chemistry News
This information is from the Internet for academic exchanges. If there is any infringement, please contact us and delete it immediately
18915694570
Previous: ACS nano: Smart Respon

